当院では下まぶたのたるみの治療として、経皮的下眼瞼脱脂術、経結膜的下眼瞼脱脂術(切らない目の下のたるみとり)を実施しています。
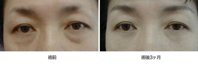
経皮的下眼瞼脱脂術は局所麻酔後、下まぶたのまつげの下の皮膚を切開し、たるみの原因である脂肪を切除し、さらに余っている皮膚も切除することで、術後の小じわ形成を予防します。(手術時間:60分程度)手術翌日あるいは翌々日に創部のチェックを行い、術後1週間目に抜糸を行います。
内出血は2週間程度でなくなりますので、それまではお化粧で隠していただく必要があります。
下まぶたの傷跡は術後数ヶ月でほとんどわからなくなります。

※所要費用275,000円
※リスク・副作用
・内出血・腫れ・結膜浮腫
・一時的な目のごろつき・違和感
・若干の左右差
・感染
・傷跡→下眼瞼の傷跡は数か月で非常に目立たなくなりますが、残る場合は再縫合やレーザー治療にて対処
・三白眼→通常皮膚を切り取りすぎなければ起きない副作用ですが、それ以外でも、眼輪筋の一時的な麻痺により
一過性に生じることがあります。
経結膜的下眼瞼脱脂術(切らない目の下のたるみとり)は、下まぶたの裏側(結膜下)より切開し、余分な脂肪を除去します。皮膚を切開しないため傷跡が皮膚表面に出ません。ただし、皮膚までたるみが生じている場合には下眼瞼の皮膚切除をしたほうが良い場合があります。
▼ 切らない目の下のたるみとり
※所要費用220,000円
手術のリスク・副作用
・内出血・腫れ・結膜浮腫
・皮膚のたるみが残存して目元の小じわが増える場合がある
・一時的な三白眼
・一時的な目のごろつき・違和感
・若干の左右差
・感染
手術までは抵抗がある方には、ヒアルロン酸注入・脂肪注入・PRP(再生医療)治療を御用意しています。
ヒアルロン酸注入治療は局所麻酔のクリームやテープ後に、注入にて行います。施術時間も5分程度と大変短く、負担が少ないという特徴も持っています。ヒアルロン酸はもともと人体に存在する成分で主に表皮と真皮・関節、眼球の硝子体などに含まれています。ヒアルロン酸の種類による差や個人差がありますが、3~6ヶ月毎の治療をおすすめしています。万一、結果にご納得いかない場合でも、ヒアルロン酸溶解注射で溶かしてリカバリーができる点も手術と異なる点です。
脂肪注入は自身の脂肪を専用のカニューレという管で吸ってきて集めた脂肪をしわに注射する方法です。しわの注射に使う脂肪はごく少量ですので、脂肪採取部位のダウンタイムは大きくはありません。注入した脂肪は大体30%程度が生着しますので、3~4回程度の治療が必要となることが多いです。脂肪は太い針で注射しますので内出血が出やすいのがデメリットです。
PRP療法(再生医療)は、自分の血液の中に含まれる血小板を使用して肌を再生させる再生医療です。局所麻酔のクリームやテープ後に、注入にて行います。採血後にPRPを作成し、施術時間は5分程度と大変短く、負担が少ないという特徴も持っています。血小板には様々な細胞成長因子(growth factor)が含まれており組織を再生する働きを持っています。PRP療法は異物を注入しない、定着した組織はそのまま定着するというメリットがありますが、各個人の再生力を利用している治療のため、効果の個人差があり(貧血・高齢者では効果が落ちる)当院では、何度もヒアルロン酸を注入するのが煩わしい、異物を注入したくない、という方におすすめしております。
(PRP療法は、「再生医療等提供計画」を作成して「再生医療等委員会」の意見を聞いた上で地方厚生局に提出して認可を得ていなければ法律違反となる治療であり、当院は認可を得ています。)
<注入治療の副作用・リスク>
・施術時の疼痛→笑気ガスなどで対処可能
・数日程度軽度の腫れ
・内出血
・まれに感染→抗菌剤内服およびヒアルロン酸では溶解注射が必要
・まれにアレルギー(ヒアルロン酸・ヒアルロン酸溶解注射)
・ヒアルロン酸施術部位の凹凸→マッサージで散らすが修正不可能な場合は溶解注射で溶解
・脂肪注入施術部位の凹凸→外科的切除が必要
・PRP注入施術部位の凹凸→ステロイド局所注射や外科的切除が必要
・ごくまれに塞栓症(PRP除く)
※所要費用55,000円
| 通常価格 | |
|---|---|
| 経皮的下眼瞼脱脂術(両目) | 275,000円 |
| 経結膜的下眼瞼脱脂術(切らない目の下のたるみとり) | 220,000円 |
※他院修正の場合は上記料金の1.5倍となります。
※自由診療初診料3,300円、自由診療再診料無料
| ※各1回 | 通常価格 | 初回価格 |
|---|---|---|
| ヒアルロン酸レスチレン・ヴィタール・ライト1ml、涙袋・小じわ、唇をくっきり・アヒル口 | 55,000円 | 44,000円 |
| ヒアルロン酸レスチレン・ヴィタール1ml、唇を厚く、アヒル口・眉間 | 55,000円 | 44,000円 |
| ヒアルロン酸レスチレン・リド1ml、法令線・眉間 | 55,000円 | 44,000円 |
| ヒアルロン酸レスチレン・リフト・リド(パーレーン)1ml、鼻・顎・ゴルゴ線、深い法令線、口角・額・亀頭 | 66,000円 | 44,000円 |
| ヒアルロン酸クレヴィエル・コントア1ml、鼻・顎 | 110,000円 | 88,000円 |
| ヒアルロン酸ベロテロ2ml、額・頬・顎など、輪郭形成 | 99,800円 | 88,000円 |
※初回価格は、ヒアルロン酸の種類によらず、当院での初回治療のみ適用
※自由診療初診料3,300円、自由診療再診料無料
| 通常価格 | 初回価格 | |
|---|---|---|
| ヒアルロン酸溶解注射 各回ヒアルロン酸を溶かす注射です。 | 22,000円 | - |
| 脂肪注入:1か所2か所目以降追加分半額 2回目以降半額 | 220,000円 | - |
| PRP(再生医療):1か所2か所目以上追加の際には追加分20%OFF(初回時は除く) | 99,800円 | 79,800円 |
※自由診療初診料3,300円、自由診療再診料無料
クリニックのご案内
所在地
駐車場
電話でのお問合せ
受付時間
アトピー性皮膚炎、薄毛、ケミカルピーリングやピアスなら、シャルムクリニックへ。